診療放射線科
特徴
・診療放射線技師5名にてCT検査、一般撮影、造影検査などの各種画像診断検査を行なっております。
・CT検査に関しては、近隣のクリニックからの依頼検査も行っております。 (検査予約と紹介状が必要となります)
・患者さまにやさしい検査を提供すべく、最新機器を導入し被ばく線量の低減を心掛けております。
MRI(DLR搭載1.5テスラ超電導磁石式全身用MR装置)
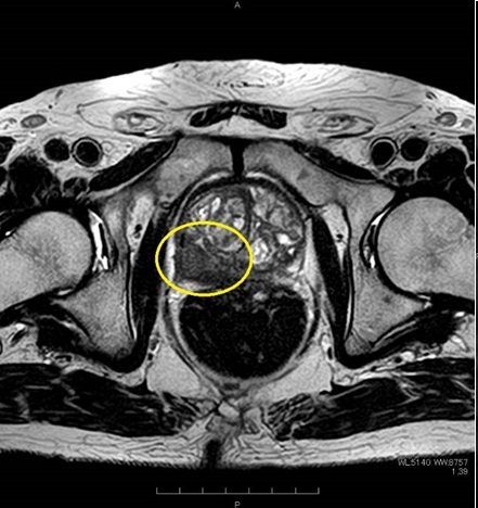
前立腺がんの針生検の際にMRI画像を融合して行なっております。
MRIは、非常に強い磁気と電波を利用して身体のさまざまな断面画像が得られる装置です。放射線を使用しないので被ばくの心配がなく、人体への影響がほとんどありません(体内に磁性体の金属があると撮影出来ない場合があります)。
当院のMRIには静音化技術が搭載されており、他のMRI装置よりも騒音が少なく静かな環境で安心して検査を受けていただけます。 また、ディープラーニングを用いたAiを搭載する事により、短時間の撮影でより鮮明な画像を得られます。



PSAが高値などの前立腺がんを疑う場合は、前立腺のMRI検査を行います。 前立腺MRIは、前立腺がんの診断に大変有用な検査で、前立腺がんの有無だけではなくがんの位置や大きさ、悪性度もある程度予測する事が可能となります。 また、疑わしい場所があった場合に行う前立腺生検の際、こちらの画像を前立腺生検の装置に取り込み、実際の超音波画像と融合する事により正確に前立腺がんと疑われる場所の組織を採取する事が出来ます。(MRI融合前立腺生検)

DWIBS法を使用した全身拡散強調MRIは、特に前立腺がんに多い骨転移に対して大変有効です。 そのため、前立腺生検により前立腺がんが確定した後の治療方針を決めるため転移の有無を確認するなどの目的にて行います。 また、前立腺がん治療後の再発や治療効果を評価するためにも撮影します。 前立腺癌以外にも、泌尿器がんの転移検索にも有効な検査です。
CT検査
80列マルチスライスCT装置を設置しております。
新病院移転と共に、80列マルチスライスCTを導入しました。以前の装置より広範囲をより速く撮影する事ができ、胸部撮影で約5秒、腹部撮影で約10秒の息止めにて撮影出来ます。また、最新の画像処理により以前より少ない被ばく線量にて検査を受ける事が出来るようになりました。



細かいスライスで撮影するため小さな結石でも容易に発見ができ、正確な位置情報を診断する事が出来ます。



従来の輪切りの画像だけではなく、さまざまな方向からの断面像や画像解析装置による診断に有効な3D(立体)表示をして臓器(主に腎臓・前立腺・膀胱)や病巣の大きさ・形状を把握する事が出来ます。造影剤を使用しながら撮影する事により、より鮮明な画像が得られます。
一般撮影
俗に言うレントゲン撮影です。主に、胸部・腹部を撮影しております。

■ 胸部レントゲン


肺疾患や心臓疾患がないかを見るために撮影します。 手術前には、麻酔をかけて安全な手術を行なえるかを判断するために必ず行ないます。(術前検査) 透析患者さまには、胸部疾患がないかに加えて、心胸郭比(CRT)を計測するためにも撮影します。
■ 腹部レントゲン(KUB)

腹部の炎症や異常ガスの有無などを見ますが、当院では特に腎臓や膀胱の位置確認、結石の有無を見ます。
X線透視検査
主に泌尿器科特有の検査を行なっております。
■ RUG (逆行性尿道造影)

X線透視下にて尿道口より逆行性に造影剤を注入しながら撮影します。 尿道・膀胱・前立腺の形態が分かるため、尿道狭窄や前立腺肥大の診断に用いる検査です。
■ チエーンCG


膀胱の形状や尿道との位置関係を調べ、主に腹圧性尿失禁や子宮・膀胱などの骨盤臓器脱の診断に用いる検査です。
X線透視下手術
Cアーム装置
オペ室に、2台のCアーム装置を配置し主に結石治療のTUL、PNLや透析患者さまのシャントPTAなどに使用しております。


PACS(医用画像保存通信システム)
当院は、すべての画像をモニター診断にて行なっております。
モニター診断により、必要部位の大きさを計測・画像拡大や過去画像との比較などが容易に行なえます。
また、電子カルテと連動しているため患者さまのカルテを開くと画像が確認でき、患者誤認防止にもなっております。
